Insult
Konspekti koostas dr Eva-Lotta Kooskora ja dr Karl Jõgi
Oktoober 2025
Definitsioonid
Insult on järsku tekkinud aju verevarustuse katkemine, mis põhjustab neuroloogilist defitsiiti. Insult on peamine rasket invaliidsust põhjustav haigus. Insult on aegkriitiline seisund – ühe minuti jooksul sureb 1,8 miljonit ajurakku. Seega esmareageerijatel on oluline ülesanne tunda kiiresti insult ära ning tagada kiire ja turvaline patsiendi transport insuldikeskusesse.
Transitoorse isheemilise ataki (TIA) ehk mööduva ajuvarustuse häire sümptomaatika on sama, mis insuldi puhul. Erinevus seisneb selles, et TIA puhul on sümptomaatika mööduv - püsib enamasti mõned minutit kuni tunnid ning kaob täielikult 24 tunni jooksul. TIA korral püsivat kahjustust ei teki. 13% järgneb 1 aasta jooksul TIA-le insult, kuid kõige kõrgem risk on esimese 30 päeva jooksul. Mida kauem TIA kestab, seda suurem on risk. Seega TIA kahtlusega patsiendid vajavad samuti hindamist erakorralise meditsiini osakonnas.
Insuldi klassifikatsioon
Isheemiline insult ehk ajuinfarkt (~85% insultidest):
- tromboos – aterosklerootilise naastu piirkonda moodustub aja jooksul tromb, mis viib soone sulgusele või tekkinud trombi emboliseerumisele.
- embol – mujalt organismist liigub embol ajuarterisse ning blokeerib verevarustuse piirkonnas (nt kodade virvendusarütmia korral tekkivad kardiogeensed embolid).
Hemorraagiline insult (~15% insultidest):
- intratserebraalne hemorraagia – verejooks lähtub arterioolidest või väikestest arteritest. Verejooks põhjustab peaajusisese lokaalse hematoomi, mis suureneb minutite või tundide jooksul. Enamasti põhjustatud hüpertensioonist, amüloidangiopaatiast või verevedeldajate kasutamisest.
- subarahnoidaalne hemorraagia – peamine SAHi põhjus on arteri aneurüsmi ruptuur, mille tulemusel lekib veri liikvorisse ning põhjustab intrakraniaalse rõhu tõusu. Verejooks kestab enamasti paar sekundit, kuid korduvad verejooksud on sagedased. Loe selle kohta lähemalt meie peavalu ja ajukatastroofi teemalisest konspektist (https://deltakutse.ee/ajukatastroof).
Clinical pitfall: TIA läbi teinud patsienti ei tohi koju jätta, vaid tuleb hospitaliseerida, kuna on suur risk ajuinfarktiks järgneva 30 päeva jooksul.
Insuldi riskifaktorid
Mõjutatavad riskifaktorid:
- hüpertensioon – soodustab aterosklerootiliste naastude kujunemist
- düslipideemia
- diabeet – kahjustab veresooni, diabeetikutel on ~2 korda suurem risk insuldiks võrreldes tavapopulatsiooniga, sh on naised rohkem ohustatud
- suitsetamine – suitsetamine soodustab veresoonte lubjastumist ja trombide teket ning seetõttu kahekordistab insuldiriski, kõrgem risk on kõikide insuldi alatüüpide suhtes
- vähene füüsiline aktiivsus
- südame rütmihäired – sagedaseim on KVA, mis võib anda kardiogeenseid emboleid
- uneapnoe
- alkoholi/narkootikumide kasutamine
Mittemõjutatavad riskifaktorid:
- vanus (>80-aasta)
- rass
- sugu (M>N)
- pärilikkus – harvadel juhtudel on insult tingitud geneetilistest haigustest
Insuldi sümptomid
Insuldi sümptomid sõltuvad sellest, millises ajuosas on vereringehäire. Lisaks sõltuvad need ka sellest, kui suur on kahjustus ja mis on patsiendi varasem tervislik seisund.
Aju verevarustus lähtub kahest karotiidarterist ehk unearterist ja kahest vertebraalarterist. Karotiidarterid jagunevad edasi eesmiseks ja keskmiseks ajuarteriks ja loovad karotiidsüsteemi verevarustuse. Vertebraalarterid ühinevad üheks basilaararteriks, mis intrakraniaalsel jaguneb tagumisteks ajuarteriteks ja annab verevarustuse ka ajutüvele ja väikeajule. Moodustunud süsteemi nimetatakse vertebrobasilaarsüsteemiks.
Kõige sagedasemad insuldi sümptomid:
- ühe kehapoole nõrkus ehk halvatus
- ühe kehapoole tuimus ehk tundlikkuse langus
- kõnehäire (afaasia - valed sõnad, korralduste mittemõistmine, kõne produktsiooni häire; düsartria - pudisev kõne, ebatäpne hääldus)
- äkki tekkinud tasakaaluhäire
- vaateväljahäire
- äkki tekkinud väga tugev peavalu (enamasti hemorraagilise insuldi puhul)
Toome eraldi välja ka vertebrobasilaarsüsteemi infarktile viitavad sümptomid, kuna need võivad jääda õigeaegse ravita:
- jäsemete samapoolne ataksia
- kehatüve ataksia
- erisuunalised nüstagmid
- oksendamine
- teadvushäire
- vaateväljahäire
Clinical pitfall: vertebrobasilaarsüsteemi insuldi puhul ei puugi kliiniline leid olla ,,klassikaliste sümptomitega”, mistõttu seda tüüpi insuldid magatakse sagedamini maha.
Anamnees
Anamnees on otsustava tähtsusega ravivaliku osas, mistõttu on info kogumine kiirabietapis väga oluline - sellega hoiame aega kokku. Anamneesi saamine insuldiga patsiendilt võib olla keeruline, mistõttu tuleks info koguda ka lähedastelt. Seega vajadusel võtta telefoni teel lähedastega ühendust.
Küsimused, millele tuleks vastused saada:
1. Millal nähti patsienti viimati tervena?
2. Kui insult on tekkinud une ajal, siis mis kell läks patsient magama ja mis kell ta ärkas?
3. Mis on patsiendi varasem kognitiivne ja funktsionaalne võimekus?
4. Kas patsient võtab antikoagulanti? Kui jah, siis millal viimati?
Lisaks saame KMT abil ka ise palju lisainfot patsiendi tervisliku seisundi kohta - mis on tema kaasuvad haigused, mis on tema ravimid, kas ta on need välja ostnud etc.
Kindlasti märkida kiirabikaarti lähedase kontakttelefon, et vajadusel saaks neuroloog anamneesi täpsustada.
Käsitlus haiglaeelselt
A (airways) – hinda, puhasta ja kaitse hingamisteid, alustades lihtsamatest manuaalsetest võtetest kuni endotrahheaalse intubatsioonini.
B (breathing) – vajadusel lisahapnik, SpO2 eesmärkväärtus >94%.
C (circulation) – vereringe hindamine. Haiglaeelselt olla ettevaatlik vererõhu langetamisega, kuna sel hetkel ei ole teada, kas tegu on isheemilise või hemorraagilise insuldiga (kõrge rõhk on kompensatoorne mehhanism, mis püüab tagada ajuperfusiooni). Alates RRs 220mmHg võib ettevaatlikult vererõhku langetada, valikravimiks on labetalool, teine variant enalapriil. EKG tegemine ajapuudusel ei ole hädavajalik, kui puudub rindkerevalu või rütmihäirele viitavad kaebused.
D (disability) – hinda neuroloogilist staatust.
E (exposure) – hüpo-/hüperglükeemia korrigeerimine (NB! hüpoglükeemia võib mimikeerida insuldi sümptomeid, seega veresuhkru määramine on oluline kõikidel insuldihaigetel), hüpotermia vältimine, vajadusel valuravi.
E (exposure) – hüpo-/hüperglükeemia korrigeerimine (NB! hüpoglükeemia võib mimikeerida insuldi sümptomeid, seega veresuhkru määramine on oluline kõikidel insuldihaigetel), hüpotermia vältimine, vajadusel valuravi.
Clinical pearl: insuldiga patsiendi puhul on anamnees märgilise tähtsusega - kiirabibrigaadil on kohapeal kõige lihtsam anamneesi koguda nii patsiendi (kui võimalik) ning lähedaste käest.
Clinical pearl: haiglaeelselt tuleb ettevaatlik olla vererõhu langetamisega, kuna sel hetkel ei ole teada, kas tegu on isheemilise või hemorraagilise insuldiga.
Clinical pitfall: kõikidel insuldikahtlusega patsientidel tuleb mõõta veresuhkrut, kuna hüpoglükeemia võib mimikeerida insuldi sümptomeid.
Neuroloogiline läbivaatus
Põhjalikum neuroloogilise läbivaatuse juhend asub peavalu ja ajukatastroofi konspektis (https://deltakutse.ee/ajukatastroof), kuid insuldikutsel on aeg kõige olulisem, mistõttu ei ole mõistlik läbi viia põhjalikku neuroloogilist läbivaatust.
Selle asemel pakume välja mnemooniku BEFAST, mis katab ära kõik sümptomid, mille osas patsienti peaks uurima:
B (balance loss) – tasakaaluhäired
E (eyes) – nägemishäired (topeltnägemine, nägemisvälja kadu, neglekt, nüstagmid)
F (face) – ühe näopoole allavaje
A (arm weakness) – ühe kehapoole nõrkus
S (speech) – kõnehäire (düsartria, afaasia)
T (time) – sümptomite tekkimise aeg
NB! Insuldi diagnoosimiseks ei pea kõik eelmainitutest esinema, võib esineda ka vaid üks sümptom.
https://emspodcast.com/achieving-stroke-care-excellence-in-pre-hospital-settings/
HINTS test
HINTS test on diagnostiline meetod, mida kasutatakse vertiigo korral perifeerse ja tsentraalse põhjuse (nt ajutüveinfarkti) eristamiseks. Testi võib teha patsientidele, kellel puudub fokaalne neuroloogiline leid – selle olemasolul tuleb esmalt kahtlustada insulti. Testi tegemise eelduseks on nüstagmide esinemine.
HINTS test koosneb kolmest komponendist:
Head impulse test – enne testi tegemist tuleb patsiendile selgitada, mis hakkab toimuma ning esialgu alustada ettevaatlikult. Testi tegemiseks istu patsiendiga vastakuti ning palu patsiendil vaadata terve testi tegemise ajal Sulle otsa. Seejärel võta pea oma käte vahele ning palu patsiendil lõdvestuda. Seejärel liiguta pead käte vahel järsult vasakule, paremale. Perifeersele põhjusele viitab see, kui patsient peab pärast pea liigutamist tegema korrigeeriva liigutuse silmadega. Tsentraalse põhjuse korral suudab patsient silmkontakti terve aja hoida ühtlaselt.
Nystagmus (nüstagmid) – kui kontrollime patsienti nüstagmi suhtes, siis perifeerse põhjusega vertiigo korral on nüstagmid ühesuunalised - see tähendab, et emmale-kummale poole vaadates on nüstagm ainult vasakule või ainult paremale liikuv. Tsentraalse põhjusega vertiigo korral on nüstagm nii-öelda suunda vahetav - nüstagmid on nii paremale kui ka vasakule liikuvad. Samuti viitab tsentraalsele põhjusele vertikaalsed nüstagmid.
Test of Skew - palu patsiendil vaadata otse Sinu poole. Kata kordamööda vasak ja parem silm, eemaldades katte seejärel aeglaselt. Jälgi, kas katte eemaldamisel silm vajub ja vajab korrigeerimist. Kui silm vajub ja vajab korrigeerimist, viitab see tsentraalsele põhjusele.
Clinical pearl: insuldikahtlusega patsiendi puhul on aeg kriitilise tähtsusega, mistõttu põhjalikku neuroloogilist läbivaatust ei pea tegema, võib piirduda mnemoonikuga BEFAST, millega saavad kaetud kõige olulisemad sümptomid.
Insuldiaknad
Trombolüüsiaken – patsiendil on tekkinud sümptomid <4,5h jooksul ning ta kuulub trombolüüsile, uuringumeetodiks KT + KTAG. Trombolüüsravi otsustamiseks piisab ka KT-natiivuuringust, aga angiograafia annab lisainfot trombektoomia võimalikust vajadusest.
Pikendatud ajaaken – patsiendil on tekkinud sümptomid <9h jooksul, uuringumeetodiks KT + KTAG + perfusiooniuuring, millest viimane üritab tuvastada säilinud riskikudet, mida annaks veel päästa. Vajadusel saab kasutada ka erakorralist MRT-uuringut. Une ajal tekkinud insulte käsitletakse pikendatud ajaakna põhjal. Sellisel juhul on eriti oluline täpsustada, millal läks patient magama, millal ärkas ja millal viimati tervena nähtud. Praktilise mõttena on kardiovaskulaarsete haiguste ilmnemine sagedasem just hommikutundidel.
Trombektoomiaaken – trombektoomia on võimalik, kui angiograafilisel uuringul kinnitub kas ekstrakraniaalsete (eelkõige unearterid) või intrakraniaalsete veresoonte suurte harude sulgus. Trombektoomia n-ö baasaken on ilma lisauuringuteta 6h (basilaararteri oklusiooni süveneva leiu puhul isegi kuni 48h elulistel näidustustel). Trombektoomia pikendatud ajaaknas (6-24h) on võimalik kui perfusioonuuringul ilmneb sobivas suhtes penumbra/väljakujunenud kahjustus või võib kasutada ka ASPECTS automaathinnangut (eeldab keskmise ajuarteri M1 osa sulgust) KT-natiivuuringule.
Hospitaliseerimine
Oluline on tuvastada kiiresti patsiendid, kes on reperfusiooniravi aknas. Sellistest patsientidest tuleb esimesel võimalusel teada anda neuroloogile ning vastutavale EM arstile või triaažiõele (vastavalt piirkonnale). Tänu sellele saab personal valmistuda ning vabastatakse saabumise ajaks KT.
Trombolüüsi- ja trombektoomiavõimekusega haiglad:
Põhja-Eesti Regionaalhaigla
Tartu Ülikooli Kliinikum
Ida-Tallinna Keskhaigla
Trombolüüsivõimekusega haiglad:
Lääne-Tallinna Keskhaigla
Pärnu Haigla
Ida-Viru Keskhaigla
Kuressaare Haigla koostöös ITK valveneuroloogiga
Hiiumaa haigla koostöös PERH valveneuroloogiga
Käsitlus haiglaetapis
Kui trombolüüsialarmiga patsient jõuab erakorralise meditsiini osakonda, siis vaatab patsiendi üle esmalt neuroloog ning võetakse esmased analüüsid (kiirkreatiniin, hemogramm, biokeemia, hüübimisnäitajad) ning viiakse patsient KT uuringule (peaaju natiiv + peaaju- ja kaelaarterite angiograafia), mis on juba tellitud ja broneeritud enne patsiendi saabumist. Seejärel vaatavad KT pildi üle neuroloog ja radioloog ning otsustatakse edasise osas lähtudes haiglasisesest trombolüüsi juhendist. Trombolüüsi rakendamise puhul ei pea vereanalüüside tulemusi ära ootama, va antikoagulantide efekti hindamine.
Uuringumeetodid:
Kompuutertomograafia peaajust natiivis – tehakse kõigile insuldikahtlusega patsientidel, on võimalik eristada, kas tegemist on isheemilise või hemorraagilise insuldiga.
Kompuuter-angiograafia peaaju- ja kaelaarteritest – tehakse kõigile trombolüüsiaknas olevatele insuldiga patsientidel, kasutatakse kontrastainet. Uuringu abil saab visualiseerida võimalikke trombe, stenoose, aneurüsme etc. Mõistlik on teha ka EMO faasis kõigile insuldi kahtlusega patsientidele (kes tulnud ka nt 2 päeva hiljem) KT koos angiograafiaga.
Kompuuter-perfusiooniuuring – kasutatakse enamasti pikendatud ajaaknaga patsientidel ning eristab automaat-tõlgendusega riskikudet ning tagasipöördumatut kahjustust. On mõeldud primaarselt vaid keskmise ajuarteri varustusala insultidele.
Magnetresonantstomohgraafia peaajust – MRT uuringut kasutatakse eelkõige vajaliku lisauuringuna insuldi eristamiseks miimikutest ja vajadusel pikendatud ajaaknas kui KT-uuringu tulemus on jäänud ebaselgeks. Erakorralise MRT võimekus on vaid üksikutes haiglates.
Aju verevarustuse alad
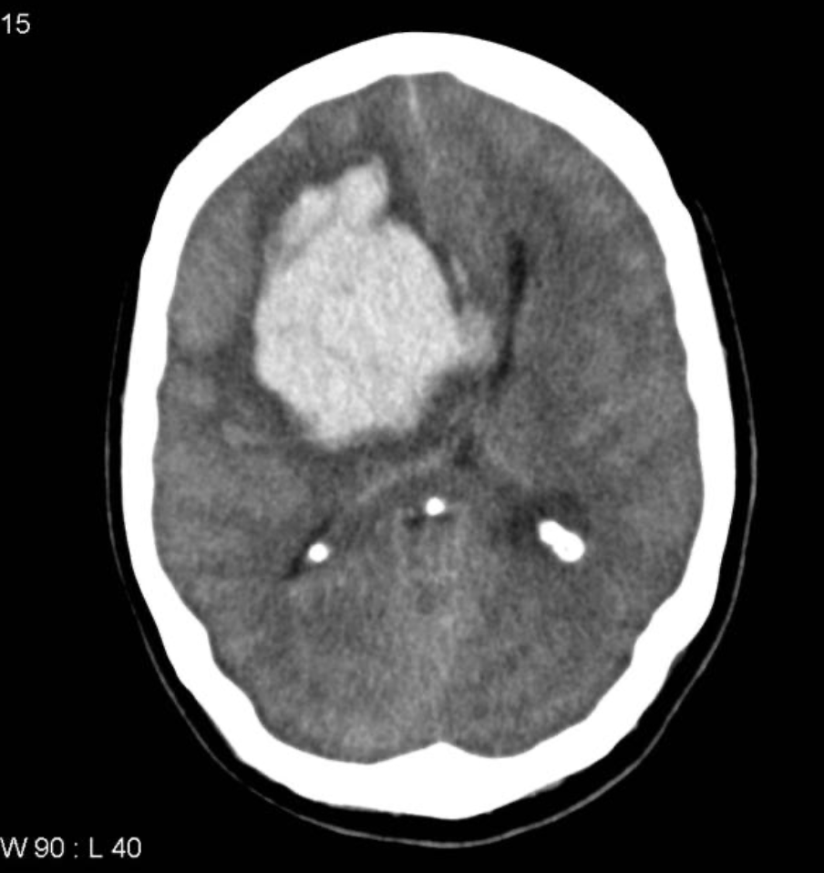
Hemorraagiline insult KT-uuringul
Ravimeetodid:
Trombolüüs
Trombolüüs on isheemilise insuldi valikmeetod. Tänapäeval kasutatakse trombolüüsiks alteplaasi või tenekteplaasi. Trombolüüsi eesmärk on lõhustada ravimi abil veresoont ummistav tromb. Trombolüüsi alustamiseks peab patsiendi vererõhk olema alla 185/110 mmHg. Käimasoleva trombolüüsi ajal on oluline patsiendi elulisi näitajaid jälgida ning hoida vererõhku piirväärtustes ehk <185/105mmHg.
Trombolüüsil on palju vastunäidustusi. Toome välja neist sagedasemad:
- KT uuringul on väljakujunenud kolle
- antikoagulantide kasutamine, va dabigatraan millel Eestis olemas antidoot
- muu raske haigus, mis piirab oluliselt patsiendi prognoosi või toimetulekut
- levinud pahaloomuline kasvaja (üldine halb prognoos, verejooksude risk)
Antud nimekiri ei ole ammendav.
Ravimite manustamine:
1. Alteplaas
Lahustada kaks Actilyse viaali (üks viaal sisaldab 50mg toimeainet) kaasasoleva süsteveega – saadud lahuse kontsentratsioon on 1mg/ml. Soovituslik koguannus on 0,9mg/kg (maksimaalselt 90mg) ning alustatakse boolusdoosiga (10% koguannusest) ning seejärel jätkatakse ülejäänud annuse manustamist infusioonina 60 minuti jooksul.
Näide: kui patsient kaalub 80kg, siis tema koguannus oleks 64mg. Esmane boolusdoos oleks 10% sellest ehk 6,4mg. Allesjäänud annus (64mg-6,4mg=57,6mg) manustatakse 60 minuti jooksul.
2. Tenekteplaas
Tenekteplaasi eelis alteplaasi ees on see, et on vaja vaid üht boolussüsti. Manustamine toimub vastavalt patsiendi kehakaalule – 0,25mg/kg, maksimaalne annus on 25mg.
Näide: kui patsient kaalub 80kg, siis temale tuleks manustada boolussüstena 20mg tenekteplaasi.
Trombektoomia
Trombektoomia lisaravi võimalusena on võimalik rakendada kui angiograafilisel uuringul esineb ekstrakraniaalsete arterite oklusioon (eelkõige unearterid) või intrakraniaalsete arterite suurte segmentide oklusioon (basilaararter, ajuarterite proksimaalsed segmendid). Vastavalt kliinilisele leiule ja tehnilisele võimekusele võib kaaluda ka distaalsemate oklusioonide suunamist trombektoomiale. Trombektoomia võimalikkuse ja kasu/kahju suhte arutab neuroloog koos angiografistiga.
Trombektoomia toimub röntgenkontrolli all, kus sisestatakse kateeter reiearterisse ning liigutakse vastavasse piirkonda, kus paikneb tromb. Trombi eemaldamine toimub kas aspiratsiooniga või stent-retriiveriga. Kliinilisel vajadusel võib vajalikuks osutada protseduuri ajal ka erakorraline stentimine (unearterid).
Operatiivne ravi
Operatiivsest ravist loe meie peavalu ja ajukatastroofi konspektist (https://deltakutse.ee/ajukatastroof).
Clinical pearl: trombolüüsi alustamiseks peab patsiendi vererõhk olema alla 185/110mmHg.
Take home messages:
- Insuldikutsel on aeg kriitilise tähtsusega, mistõttu on oluline teha kiire neuroloogiline läbivaatus, selle jaoks võib kasutada mnemoonikut BEFAST.
- Esmakordse TIA-ga patsiendid (ka siis, kui patsiendil on sümptomid möödunud) vajavad samuti hospitaliseerimist EMOsse uuringuteks, kuna neil on suur risk insuldi tekkeks järgneva 30 päeva jooksul.
- Kiirabietapis tuleb vererõhu langetamisega väga ettevaatlik olla, kuid vajadusel on valikravimiks labetalool.
Kasutatud kirjandus:
Oliveira-Filho, J., Mullen, MT. 2025. Initial assessment and management of acute stroke. UpToDate.
Caplan, RL. 2025. Overview of the evaluation of stroke. UpToDate.
Rost, NS., Simpkins, AN. 2025. Overview of secondary prevention of ischemic stroke. UpToDate.
Caplan, RL. 2025. Stroke: Etiology, classification, and epidemiology. UpToDate.
Oliveira-Filho, J., Mullen, MT. 2025. Approach to reperfusion therapy for acute ischemic stroke. UpToDate.
Oliveira-Filho, J., Mullen, MT. 2025. Mechanical thrombectomy for acute ischemic stroke. UpToDate.
Furman, JM., Barton, JSJ. 2025. Evaluation of the patient with vertigo. UpToDate.
Reinhard, V. et al. 2025. „Kiirabi tegevusjuhend“.
Kurvits, T., Sõerunurk, G., Suur, K., Pääbo, L. 2021. Insult. Käsiraamat töötajale. Tartu Ülikooli Kliinikum.
Insult.ee.
Kirjuta meile
Kas Sul tekkis selle teemaga küsimusi või on Sul meile lihtsalt ideid või soovitusi? Saad need kõik kirja panna siia ning vastame esimesel võimalusel :)
Suur aitäh kirja eest! Vastame esimesel võimalusel :)